• 후원하기
  • 인쇄
  • 전송
  • 보관
  • 기사목록
  • 오탈자제보

부산대 정의만 교수팀, 미세플라스틱-생애 전 주기 미치는 영향 연구

뇌 신경발달 및 억제성 신경전달물질 수용체 유전자 감소시켜 신경발달장애 초래해

  •  

cnbnews 심지윤기자 |  2023.05.25 09:51:39

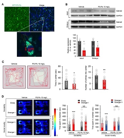
부산대학교 분자생물학과 정의만 교수팀의 연구 내용 이미지. (사진=부산대 제공)

부산대학교는 분자생물학과 정의만 교수팀이 전 세계적으로 심각한 오염물질로 인식되는 '미세플라스틱'이 태아 때부터 뇌에 축적돼 신경발달에 부정적인 영향을 미쳐, 불안·우울, 사회성 결여 등 비정상적인 행동을 유발할 수 있다는 연구결과를 환경 분야의 세계적인 저널인 'Journal of Hazardous Materials(저널 오브 해저드스 머티리얼즈)' 4월 23일자에 발표했다고 25일 밝혔다.

'신경발달'은 뇌가 성장하고 발달하는 과정을 말한다. 이 과정에서 뇌는 경험과 자극에 반응해 언어·인지·감정조절 등 다양한 능력을 형성한다. 신경발달이 일어나는 시기에 유전적·환경적 원인으로 입은 중추신경계의 손상은 신경발달장애를 유발한다. 타고난 유전적 원인과 달리 환경적 원인은 화학물질을 비롯한 오염물질의 노출 및 생체 축적, 성장 과정 중의 경험 및 스트레스, 보호자와의 관계 등 다양한 양태를 보인다.

연구팀은 환경적 원인 중 '미세플라스틱’에 초점을 맞춰 연구를 진행했다. 미세플라스틱은 일상생활에서 사용되는 플라스틱 제품의 물리·화학적 분해를 통해 생성된다. 미세플라스틱은 직경이 5㎜ 이하의 플라스틱을 말하며, 직경이 1㎛(마이크로미터, 0.001㎜) 이하인 나노플라스틱도 포함한다.

인간의 무분별한 플라스틱 사용으로 해양 및 토양 생태계는 지속적인 미세플라스틱 오염에 시달리고 있다. 인간도 미세플라스틱에 지속적으로 노출되고, 그 노출로 인해 건강에 위협을 받고 있다.

여기에 미세플라스틱이 인간의 건강에 미치는 영향을 조사해야 할 연구의 필요성이 있다. 하지만 최근까지도 미세플라스틱은 그 흡수에 관여하는 기관인 장이나 폐를 대상으로 한 국한된 연구가 중심이었다. 이에 연구팀은 미세플라스틱을 신경발달장애 유발의 환경적 원인으로 분석하고자, 미세플라스틱의 노출이 신경발달에 어떠한 영향을 미치는지 살펴봤다.

연구팀은 현대인들이 일상생활에서 미세플라스틱에 지속적으로 노출돼 있음을 감안해, 생애 전 주기에 걸친 연구를 수행했다. 신경발달이 활발히 일어나는 태아기부터 성인기까지 지속적으로 미세플라스틱에 노출된 환경에서 결과치를 분석하고자, 임신 마우스에 미세플라스틱을 노출시키고 미세플라스틱의 노출이 자손 마우스의 신경발달과 자란 후 성인기에 이르기까지 어떠한 영향을 미치는지 조사했다.

그 결과, 연구팀은 미세플라스틱이 태아의 뇌에 축적될 뿐만 아니라 자손 마우스의 젖먹이 시기에 모체의 유선(乳腺)을 통해 지속적으로 뇌에 축적되고 있음을 확인했다. 또한 태아 마우스의 뇌에서는 신경발달 관련 유전자의 발현이 감소했고, 태아 및 성인 자손 마우스에서 뇌 기능 조절에 관여하는 억제성 신경전달물질인 감마-아미노뷰티르산(GABA, Gamma-aminobutyric acid) 수용체 subunit 중 하나인 Gabra2의 유전자 발현이 유의성 있게 감소했음을 관찰했다. 이렇게 미세플라스틱에 노출된 임신 마우스의 자손은 불안 및 우울 장애, 사회성 결여와 같은 비정상적 행동이 유발되는 것으로 나타났다.

이번 연구는 신경발달 시기 미세플라스틱에 노출된 결과, 미세플라스틱이 뇌에 축적돼 비정상적 행동을 일으킬 수 있음을 규명한 것이다. 이는 사회적 문제의 본질을 이해하고 해결하려는 신경과학과 환경과학의 융합연구 성과로, 일상생활에서 편리함을 주는 플라스틱의 무분별한 사용이 뇌 건강에 위험을 주고 있음을 확인함으로써 미세플라스틱 노출에 대한 경각심을 불러일으킬 것으로 기대된다.

정의만 교수는 "미세플라스틱은 음용수와 음식, 공기 중에도 존재하기 때문에 인간은 항상 미세플라스틱에 노출돼 있다 해도 과언이 아니다. 우려스러운 부분은 미세플라스틱의 부작용이 신경발달 단계뿐만 아니라 인간의 전 생애에 걸쳐 일어날 수 있다는 점"이라며 "미세플라스틱에 대한 노출 및 부작용에 대한 지속적인 연구가 활발히 진행돼야 하고, 나아가 플라스틱 사용에 관한 정부의 정책 강화 및 미세플라스틱 생산의 최소화를 위한 국가적 차원의 노력이 요구된다"고 밝혔다.

한편, 이번 연구는 한국연구재단의 우수신진연구사업 지원을 받아 수행됐다.

배너
배너
배너
배너
배너
배너
배너
배너

 
배너
배너
배너
배너
배너
배너
배너
배너
배너
배너
배너
배너
배너
배너
배너
배너
배너
배너
배너
배너
배너
배너
배너
배너
배너
배너
배너
배너
배너
배너