
▲서울부민병원 척추센터 성한유 과장.
겨울나기가 누구보다 힘든 사람들이 있다. 바로 척추 질환자다.
특히 요즘과 같이 날씨가 추워지면 척추를 둘러싸고 있는 근육과 혈관, 인대 등에 수축과 긴장이 증가하기 때문에 척추관협착증 증상이 악화될 수 있다. 근육과 인대의 유연성이 떨어지고 혈액순환 장애가 생겨 평소에는 가끔씩만 저리던 다리가 겨울철이면 통증이 빈번해지고 보행이 어려운 정도로 심해진다는 환자들도 종종 볼 수 있다.
척추관협착증은 뇌에서 시작해 경추(목), 흉추(등)을 지나 요추(허리)에서 다리로 내려가는 신경 통로인 척추관이 좁아져 신경이 압박을 받고 통증을 유발하는 질환이다.
이 질환은 허리와 골반의 묵직한 통증과 뻣뻣함이 동반되며, 다리가 저리거나 보행 시 주기적으로 쉬었다 가야 할 정도로 신경인성 간헐성 파행을 보인다. 심한 경우 배뇨 배변 장애나 마비 증상이 나타날 수 있다.

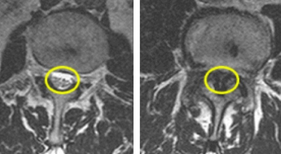
▲정상 척추(좌)와 척추관협착증 환자의 척추(우) 모습. 오른쪽 사진의 표시 부위를 보면 두꺼워진 인대(검은 부분)와 관절을 확인할 수 있다.
척추관협착증은 척추관이 선천적으로 좁아서 발생하는 경우도 있으나 대부분 척추 주변의 관절이나 인대가 두꺼워지고 디스크의 퇴행성 변화로 인해 신경을 압박하는 것이 주된 원인이다.
따라서 오랜 기간 동안 척추를 사용해 온 50~60대 이상 중장년층의 발병 비율이 가장 높으며, 중년 이후 여성에게서 질환이 보다 빈번히 발생된다. 그 이유는 대체적으로 50대 이상의 여성은 척추 자체의 퇴행성 변화도 나타나지만, 폐경 이후 호르몬 변화로 인해 뼈 건강이 약해지기 때문이다.
이러한 사실은 국민건강보험공단 통계 자료에서도 여실히 확인할 수 있다. 전체 척추관협착증 환자 중 50대 이상 여성의 비율이 60% 이상을 차지할 정도로 매우 높은 비중을 보인다.
척추관협착증은 사고로 인한 손상이 아닌 퇴행성 질환이기 때문에 급격한 증상의 악화나 기능 저하는 드물다. 따라서 처음에는 보존적 치료를 먼저 시행하는 경우가 대부분이다. 보존적 치료 방법에는 운동치료나 비스테로이드성 소염 진통제 등의 약물치료, 경막 외 스테로이드 주사 등 다양한 방법이 적용된다.
만일 쉬지 않고 걸을 수 있는 거리가 짧아지거나, 급격히 다리 힘이 약해지고 대소변 기능 장애가 발생한다면 좁아진 척추관을 넓혀주는 수술적 처치를 고려할 수 있다. 하지만 척추관협착증 환자들 중에는 수술에 대한 막연한 거부감을 갖는 경우도 있는데, 위와 같은 신경학적 증상이 심해진다면 무조건 수술적 치료를 피하는 것 보다는 적절한 시기에 수술적 치료를 시행하는 것이 예후에 좋다.
또한 이러한 견해는 여러 학술 논문에서도 언급되는 정설이다. 수술적 방법으로는 미세 현미경을 통해 문제가 생긴 부위를 확대해 살펴보며 신경 압박의 원인이 되는 두툼해진 뼈와 인대를 부분적으로 제거하는 '척추 후궁 성형술' 등이 있다.
따라서 척추관협착증이 의심된다면 척추 전문의와 상의하여 적절한 치료 방법을 통해 증상을 완화시키려는 노력이 필요하며, 평소 올바른 생활 습관과 꾸준한 운동, 스트레칭을 통해 척추 건강의 유지와 증상 재발을 예방하는 것이 무엇보다 중요하다.
< 도움말 = 서울부민병원 척추센터 성한유 과장 >